Konec amalgámových plomb se blíží
Už od poloviny loňského roku se mluví o tom, že Evropská komise zakáže zubním lékařům používat amalgámové výplně. Ty se používají zejména proto, že se jedná o výplň, která je hrazená pojišťovnou a jsou řešením pro osoby, které si nechtějí nebo nemohou za jiné výplně připlácet.
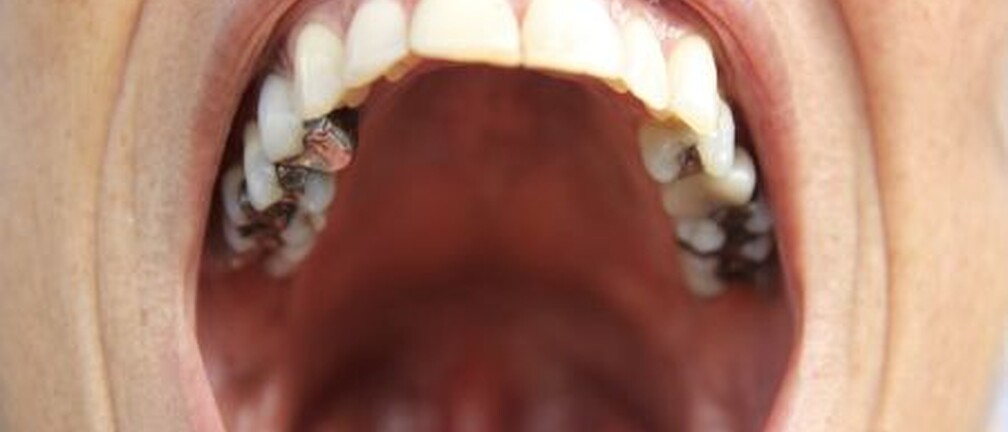
Amalgám je klasická tmavá zubní výplň. Skládá se z několika kovů, přičemž polovinu tvoří rtuť. A právě zmíněná rtuť je problémem, který vedl Evropskou komisi k zákazu používání amalgámových výplní. V první vlně se tento zákaz bude týkat dětí a těhotných žen a vejde v platnost od července 2018.
Proč nebude amalgám povolený?
I když to bude znít podivně, tak důvodem pro zákaz amalgámu není to, že by nějakým způsobem škodil člověku, ale podle odborníků škodí životnímu prostředí. Je to proto, že při vybrušování zubní výplně se rtuť vyplavuje do odpadních vod. Důvod pro zákaz amalgámu proto není zdravotní, ale ekologický.
Co na to zubní lékaři?
Zubní lékaři se shodují na tom, že amalgám byl řešením pro pacienty, kteří si nejsou schopní uhradit dražší výplň nebo zkrátka nechtějí. Dokonce pro některé osoby je amalgámová výplň vhodnější, protože kompozitní výplň může osobám, které si špatně čistí zuby, praskat a zuby se mohou znovu kazit.
Zpočátku jako největší problém vnímali zubní lékaři to, že nebylo vyřešeno, zda po začátku platnosti zákazu začnou pojišťovny proplácet jiné dražší výplně všem pacientům, nebo je budou alespoň částečně hradit. Kdyby zubní lékaři neměli možnost pacientům poskytnout některou výplň zdarma, vedlo by to v nejhorším důsledku k tomu, že si pacienti zkrátka zuby spravovat nenechají. V tuto chvíli po stanovení doby, od kdy zákaz amalgámu pro děti a těhotné vejde v platnost, jsou pojišťovny povinné hradit alternativu amalgámu, kterou by měly být cementové výplně. Jejich životnost je ovšem velmi nízká a označují se spíše za dlouhodobé provizorium.
Jak to tedy bude?
I když to zprvu vypadalo jako velké téma, které se ještě bude dále řešit, nakonec zákaz amalgámu v zubních ordinacích začne platit již za měsíc. I když zatím pouze pro děti a těhotné a kojící ženy, jisté je, že amalgám v horizontu několika let pravděpodobně zmizí ze zubních ordinací úplně a pacienti si budou muset zvyknout na jiný materiál výplní.
